Table of Contents
Porcelain Veneer in Turkey
Porcelain veneer in Turkey are a popular cosmetic dental treatment used to enhance the appearance of your teeth. These thin shells of porcelain are custom-made to cover the front surface of your teeth, improving their shape, color, and overall appearance. Turkey has become a top destination for dental tourism, offering high-quality treatments at affordable prices. Many patients choose Turkey for porcelain veneer in Turkey due to the expertise of Turkish dentists and the cost-effective services provided.
How is Porcelain Veneer Done?
The process of getting porcelain veneers usually involves two visits to the dentist. During the first visit, the dentist will lightly reshape the surface of the teeth to prepare them for the veneers. An impression is then taken, which is sent to a dental laboratory where the veneers are created. On the second visit, the veneers are bonded to your teeth using a strong adhesive. The procedure is minimally invasive, and you can expect a noticeable improvement in your smile.
How Long Does Porcelain Veneer Last?
Porcelain veneers typically last between 10 to 15 years with proper care. Their longevity depends on factors like oral hygiene, diet, and whether you grind your teeth. Veneers are durable and resistant to stains, but avoiding hard or sticky foods can help preserve them. Regular dental checkups are important to ensure that the veneers remain in good condition and to address any issues early on.
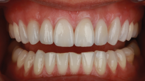
Does Porcelain Veneer Look Natural?
Yes, porcelain veneers look very natural. The material closely resembles the translucency and color of natural tooth enamel, making them an ideal choice for enhancing your smile. Veneers are custom-made to match the shape, size, and color of your natural teeth, ensuring a seamless and discreet result. Whether used to correct discoloration, chips, or gaps, porcelain veneers blend effortlessly with your natural teeth, creating a beautiful and natural-looking smile.
Can Porcelain Veneer Fall Off?
Yes, a porcelain veneer can fall off, but it is quite rare. The bonding material used is very strong, making veneers highly secure. However, if you bite down on hard objects or experience trauma to the area, the veneer might come loose. Poor oral hygiene or untreated dental issues like gum disease can also weaken the bond over time. If a veneer falls off, it’s important to see your dentist promptly to reattach or replace it.
Why is Porcelain Veneer Done?
Porcelain veneers are done primarily for cosmetic purposes to improve the appearance of teeth. They can fix issues like discoloration, chips, or misalignment. Veneers are also used to close gaps between teeth or to make teeth appear more uniform in shape and size. This procedure is a non-invasive way to achieve a beautiful, natural-looking smile without the need for extensive dental work. Many patients choose veneers when they want a quick, dramatic improvement in their appearance.
Which Teeth are Porcelain Veneers Applied To?
Porcelain veneers are most commonly applied to the front teeth, as these are the most visible when you smile. They are ideal for correcting cosmetic issues with the upper teeth, such as staining, cracks, or unevenness. Although porcelain veneers are generally used for the upper teeth, they can also be applied to the lower teeth if necessary. The procedure is typically reserved for teeth that play a significant role in your smile and overall facial aesthetics.
What Are Porcelain Inlays and Onlays?
Porcelain inlays and onlays are dental restorations used to repair damaged or decayed teeth, particularly in the back of the mouth. Inlays are used for cavities that don’t affect the tooth’s cusps, while onlays cover one or more of the tooth’s cusps. Both are made from durable, tooth-colored porcelain that fits precisely into the tooth, restoring its function and appearance. These restorations are custom-made to match your natural tooth color and are often preferred for their aesthetic qualities and strength.
How are Porcelain Inlays and Onlays Made?
Porcelain inlays and onlays are created using a two-step process. First, the dentist removes the damaged portion of the tooth and takes an impression of the tooth. This impression is sent to a dental laboratory, where the inlay or onlay is fabricated. The custom-made restoration is then bonded to the tooth during a second visit. The procedure typically requires little or no anesthesia, as the surrounding tooth structure remains intact. The result is a highly durable, natural-looking restoration that blends seamlessly with your smile.
Are Porcelain Inlays and Onlays Aesthetic?
Yes, porcelain inlays and onlays are highly aesthetic. Porcelain closely resembles natural tooth enamel, making these restorations ideal for visible areas of the mouth. The material is translucent and can be custom-colored to match the shade of your natural teeth. Unlike metal fillings or crowns, porcelain inlays and onlays blend seamlessly, providing a natural, attractive appearance. They are an excellent choice for patients who want to maintain a beautiful smile while ensuring strong, long-lasting dental restorations.
What Is the Difference Between Inlays/Onlays and Regular Veneers?
The main difference between inlays/onlays and regular veneers is their purpose and placement. Inlays and onlays are restorations used to repair damaged or decayed teeth, primarily in the back of the mouth. They are custom-made to fit inside or over a tooth after decay is removed. Veneers, on the other hand, are thin layers of porcelain applied to the front surface of teeth for cosmetic purposes, such as improving appearance or correcting minor imperfections. While inlays and onlays restore tooth function, veneers focus on aesthetics.
Are Inlays/Onlays Painful?
Inlays and onlays are not typically painful, as the procedure is minimally invasive. Most patients experience little to no discomfort. The process involves removing the damaged part of the tooth, which may require a local anesthetic to numb the area. Once the anesthetic wears off, patients may feel some mild sensitivity, especially to hot or cold, but this usually subsides within a few days. Since the inlays or onlays fit precisely and restore the tooth’s natural function, there is generally no ongoing pain.
Porcelain Veneer in Turkey Cost 2025
The cost of porcelain veneer in Turkey can vary depending on factors such as the dentist’s expertise, clinic location, and the number of veneers needed. On average, porcelain veneers in Turkey range from $200 to $500 per tooth. Many people choose Turkey for dental procedures due to its high-quality treatment options at a lower cost compared to other countries. It’s always a good idea to research the clinic, read reviews, and consult with your dentist before proceeding to ensure the best care and results.
